千葉県でインビザライン治療経験が豊富な歯医者、医療法人スワン会 (デンタルルネサンスグループ)|全国で15医院を展開
マウスピースで行う矯正は目立たない、
日々の歯磨きがカンタンなどの特徴がありますが、
最大のメリットは装着と取り外しが
ご自身でできることです。
例えば大事な商談や面会などの時間だけは取り外す、
ということができるのでライフスタイルに合わせながら
矯正治療が可能です。
※「マウスピース矯正」は「アライナー矯正」とも呼ばれます。
「アライナー」とは、プラスチックでできた
マウスピース状の装置のことです。
精密検査48,000円
(税抜)が30人限定で
"今だけ"半額!↑↑詳しくは上のバナーから↑↑
2026年5月1日~2026年7月31日まで、
毎月30人限定となります。
※ホームページを見たと
スタッフにお知らせください。

インビザライン・システムとは、マウスピース型の歯列矯正装置です。
一連のアライナー(マウスピース)を順次使用し、少しずつ形の異なるアライナー
(マウスピース)を装着することで
継続的な弱い力を加え、歯牙を最終位置まで少しずつ移動していくため、
痛みの少ない歯列矯正です。
このインビザライン・システムは、
食事や歯磨きなどの際に取り外しが可能
(※1日20時間以上の装着が必要)で、
1〜2週間で1度アライナーを交換するため、
常に衛生的な状態を保つことが可能です。
※1日20時間以上の装着を自己管理でお願いしております。装着時間が短い場合、治療速度が遅くなりますのでご留意ください。
※進行性歯周病の患っている患者さまには、インビザライン・システムでの治療は控えさせていただきます。
※口腔内の状態によっては、
補助的な治療が必要になる場合がございます。
![]() インビザライン |
従来のワイヤー矯正 | ||
|---|---|---|---|
表側 |
裏側 |
||
| 目立たなさ | ○ | × | ○ |
| 喋りやすさ | ○ | ◎ | × |
| 歯磨きのしやすさ | ◎ | × | × |
| 装着時間の目安 | 20時間以上/1日 | 常時装着、 取り外し不可 |
|
| 歯型を採る回数 | 治療スタート前に 1回 (追加治療の際は 再度) |
なし (精密検査の際のみ) |
|
| 装置の交換 | 1週間〜2週間に1度 | なし | |
| 歯の動き方 | 1マウスピース につき0.25ミリ |
治療内容による | |
| 費用 | 通常裏側矯正より安め | 症例による | 同症例なら 表側より高め |
| 来院の間隔 | 1~2ヶ月に1度 | 通常毎月1回 | |
| 痛み・違和感 | ワイヤー矯正より少なめ | 調整後の 3~5日ほど 多少の痛みや 違和感がある |
|
| 成長期の治療 | できる | できる | |
| 主な適応症 | 軽度の症例の 全顎矯正 |
さまざまな症例の全顎矯正に フレキシブルに対応可能 |
|
| 苦手な治療 | 抜歯症例における 移動方向へと傾いた歯の改善 |
なし | |
基本的に初めて治療される方はinvisalign Fullで治療される方が多い傾向にあります。invisalign i7やinvisalign lightについては一度矯正治療を経験し、後戻りしてしまったための再治療や、比較的移動の少ない方向けの治療に向いています。
また、invisalign firstは成長過程の患者さまに歯並びを整えながら、顎の発育をサポートする治療になります。
invisalign IGOは前歯の凸凹だけ治したいなどの軽度に歯並びが悪い方の治療に適しております。
| invisalign full | アライナー無制限 |
|---|---|
| invisalign first | 詳細ページへ > |
| invisalign light | アライナー14枚 |
| invisalign i7 | アライナー7枚 |
コンピューター上で治療開始から治療ゴールまで見通した緻密な治療計画が可能となります。
カウンセリング時に患者さまと一緒に確認することで、インフォームド・コンセント(十分な情報を得た上での合意)が成されます。
クリンチェックのデータはインビザライン社で、500万症例以上の蓄積データを解析し治療計画に使用しています。
Step1
無料カウンセリング:
所要時間/30分〜1時間程度

矯正医がお口のお悩みをお聞きし、必要な処置や治療期間、費用などをご説明します。矯正を希望される場合は精密検査のご予約を取ります。
Step2
精密検査(クリンチェック)
:所要時間/30分程度

インビザライン矯正治療に必要な検査を行います。口腔内診査、レントゲン撮影、口腔内写真撮影、歯型の印象採得を行います。精密検査後、米国に歯型を送付し、3Dのデジタル歯列が出来上がります。
そして現在の患者様の歯並びからどのように歯を動かしていけば理想的なものになるか、矯正医が繰り返し修正しながら治療シミュレーションを作製します。
精密検査の約10日後、診断結果、検査結果をお伝えします。治療プログラム(クリンチェック)をもとに治療計画や治療期間について説明を行います。矯正を希望される際は契約書類をお渡しします。
Step3
Step4
インビザラインの発注

治療プログラムの完成、および患者さまの理想と治療プランの合致後、インビザラインを発注します。
Step5
インビザライン治療開始

インビザラインに関する説明と注意事項をお話しします。取り外しの仕方を練習します。次回来院時までのインビザラインをお渡しします。(一括払いの場合:全てお渡し、分割払いの場合:分割してお渡し)
Step6
インビザライン全セット装着の完了(治療終了)

医院にて最終的な咬みあわせの確認を行います。歯並びに問題がなければ、歯並びを保持するためのリテーナーを装着します。さらに歯を動かす必要がある場合は、インビザライン追加の為の型どりを行います。(リファイメント※の場合、別途費用が掛かります)
※リファインメントとは、最初の治療計画で全てのアライナーが終了した時点でも、予定通りに歯が動かない場合に、再度治療計画を立てて追加のアライナーを作製することを指します。
Step7
治療後のメインテナンス(保定期間)

矯正治療は歯並びの改善のみならず、矯正治療終了後の歯並びの維持がとても大切です。矯正終了後も装着時間を減らして保定用のマウスピースを装着していただきます。6ヶ月〜1年毎に通院し、歯並び、咬み合わせのチェックを行います。
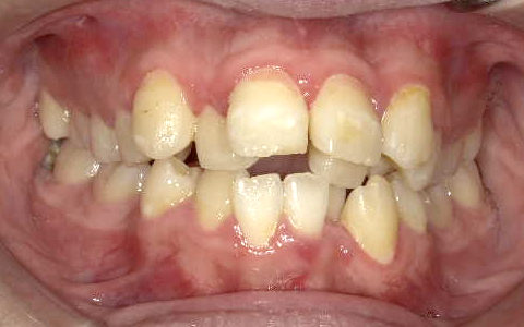
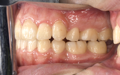
20代/男性
| 治療名 | 矯正治療 (インビザライン・フル) |
|---|---|
| 主訴 | 歯並びをきれいにしたい |
| 治療部位 | 上下全体 |
| 金額 | 79.2万円 (税抜 72万円) |
| 期間 | 2年 |
| 治療のリスク | 歯肉、頬及び唇に、製品による擦り傷 または痛みが生じる場合があります。 |
| コメント | メリット:見た目の改善、話しやすくなる、食事のとりやすさ デメリット:抜歯が必要 取り外し可能な装置なので、装着時間によっては治療期間が延びる可能性があります。(患者様の歯列状況によってはマウスピース矯正をオススメできない場合がございます。) |
治療履歴
| 令和3年3月12日 | 初診 相談 親知らずの抜歯、 虫歯の治療を完了する |
|---|---|
| 令和3年6月22日 | インビザライン精密検査 |
| 令和3年8月6日 | インビザライン治療開始 |
| 令和4年2月10日 | ほぼ見た目は満足するようになった |
| 令和4年6月1日 | 再評価→咬み合わせを もう少し治すために 追加アライナー精密検査 |
| 令和4年7月1日 | 追加アライナー装着 再治療開始 |
| 令和5年2月24日 | 再評価→少し隙間がある為、 そこの引き締めをするために 追加アライナー精密検査 |
| 令和5年3月29日 | 追加アライナー装着 再治療開始 |
| 令和5年7月7日 | 再評価→問題ないため、 リテーナーの型取り |
| 令和5年8月16日 | リテーナー装着 インビザライン治療完了 |
患者様とのインタビュー 令和5年8月16日 |
|---|
|
Q. 治療開始しておよそ2年かかりましたが、長いと感じましたか? A. 元々、かなりガタガタしていたため、綺麗になるのにもっと時間がかかると思っていましたが始めて半年ほどでほぼ見た目については満足できました。 |
|
Q. そのあとについては、かみ合わせをしっかりと治すようにしていく作業でしたね。 A. かみ合わせについては自分はわからなかったけど、そこもきちんとフォローしてもらえて良かったです。 |
|
Q. 今後もメンテナンスで拝見していきますので、何かあればいつでも相談してください。 A. これからも通院します。ありがとうございました! |
20代/女性/教育福祉関係
| 主訴 | 10カ月後の結婚式までに前歯の歯並びを治したい、 歯を抜きたくない |
|---|---|
| 治療部位 | 上下矯正 |
| 金額 | 84.48~91.63万円 (税抜 76.8~83.3万円) |
| 期間 | 前歯は10カ月、 奥歯を含めた全ての歯の治療が終わるまで6ヶ月 |
| 治療のリスク | 歯肉、頬及び唇に、 製品による擦り傷または痛みが生じる場合があります。 |
| コメント | マウスピース矯正を行うメリットとして、 1.ブラケットを付けないので歯ぐきが傷つかない、 2.見た目が美しい、 3.歯を抜く必要がない、 4.フロスを使った清掃が可能があります。 無理なく矯正ができました。 (患者様の歯列状況によってはマウスピース矯正をオススメできない場合がございます。) |
20代/女性/接客業
| 主訴 | 笑ったときの歯並びをきれいにしたい |
|---|---|
| 治療部位 | 上下全体 |
| 金額 | 84.48~91.63万円 (税抜 76.8~83.3万円) |
| 期間 | 1年 |
| 治療のリスク | 歯肉、頬及び唇に、 製品による擦り傷または痛みが生じる場合があります。 |
| コメント | 歯を抜くことなく綺麗にならべることができました。特に重視した点は見た目だけでなく、かみ合わせをミクロン単位で調整し、理想的な咬合にしたことです。それによって年をとっても機能的なかみ合わせを維持することができます。 (患者様の歯列状況によってはマウスピース矯正をおススメできない場合がございます。) |
©All Rights Reserved. MedicalCorp Dental Renaissance.